Die Computertomographie ist ein Verfahren zur Erzeugung von Schnittbildern des menschlichen Körpers unter Anwendung von Röntgenstrahlen. Die Geräte der neuesten Generation ermöglichen Aufnahmen in hoher Auflösung. Sehr dünne Einzelschichten sind möglich.
Detektoren messen die Strahlung, in einem komplizierten Rechenverfahren werden die Schnittbilder berechnet. Die Computertomographie wird primär in folgenden Bereichen angewendet:

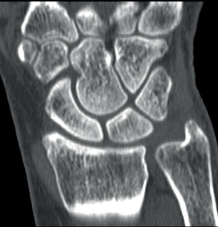
Orthopädie / Unfallchirurgie

  • Brüche der Wirbelsäule und der Extremitäten
  • Bandscheibenvorfälle
  • Verschleißerscheinungen und Einengungen des Spinalkanals
  • Tumoren oder Metastasen der Wirbelsäule
Image

Darstellung der Handwurzelknochen

Chirurgie, Urologie und Innere Medizin

  • Erkrankungen der Oberbauchorgane wie Leber, Bauchspeicheldrüse, Nieren
  • Lymphknotenvergrößerungen
  • Entzündungen der Gallenblase
  • Nierensteine („Stein-CT“)
  • Erweiterung der Brust- und Bauchschlagader
  • Entzündungen von Dick- und Dünndarm
  • CT-Angiographie der Bauchschlagader
Image

Ansicht des Bauchraums

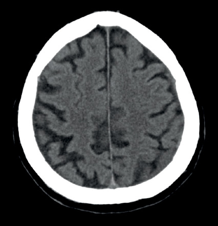
Neurologie

  • Hirnblutung
  • Schlaganfall
  • Hirntumoren
  • Auffälligkeiten der Hirnwasserräume
Image

Querschnitt durch das Gehirn

Erkrankungen der Lunge und der Gefäße

  • Lungenentzündung
  • Erkrankungen des Lungengerüstes und der Bronchien
  • Lungentumore
  • Metastasen
  • Lungenembolie
  • Erkrankungen der Aorta
Image

Lungendarstellung

HNO/MKG/Zahnmedizin

  • Brüche im Bereich des Gesichtsschädels
  • Tumoren im Kopf/Hals-Bereich
  • Zahnerkrankungen (Dental-CT)
Adresse und Kontakt

Sieghartstraße 25, 85560 Ebersberg

info@radiologie-reischlhof.de | +49 8092 247000
Zertifiziert nach DIN EN ISO 9001
Impressum | Datenschutz

© 2025 Radiologie am Reischlhof